Treat yourself - it’s time to smile

teeth whitening.

book here.

hey there,

What if I told you there’s so much more to teeth whitening than just applying some whitening gel and marinating under a light for an hour. As a dental hygienist I have the training and experience to listen to your needs and create an individual treatment plan tailored just for you. Every person is different after all. And the best part is, at Floss, you can combine your whitening treatments with a scale & clean (because healthy gums are just as aesthetically important for a beautiful smile).

what set’s floss apart?

  • There’s not necessarily a one-size fits all treatment approach, that’s why every appointment begins with a consultation to understand your individual needs and expectations and then we can tailor each treatment just for you

  • Our range of teeth whitening gels are up to 6x stronger than over-the-counter products and can only be used by dental professionals

  • You can combine your teeth whitening treatment with a dental hygiene (scale and clean) for the ultimate glow up

  • While the whitening gel works it’s magic our signature Relax Menu includes a head or hand massage and more, and will leave you feeling completely refreshed

  • Our aftercare whitening kits will make sure your results last as long as possible

  • If you are concerned about sensitivity, there are a number of ways we can manage and minimise it - let’s chat about it

Dental hygienist performing teeth whitening on a patient wearing protective eyewear.

whitening treatments & packages.

book here.
  • Duration 60min

    Instantly brighten your smile in one session with our professional-grade teeth whitening system PLUS an aftercare whitening kit for longer lasting results. Treatment includes:

    • A consultation to determine your individual treatment needs.

    • 3× 12-15min applications using 35% hydrogen peroxide whitening gel & light acceleration.

    • Optional enamel repair gel for sensitive teeth.

    • PLUS an aftercare whitening kit for longer lasting results.

    This treatment is best for first-time clients, if it’s been a few years since your last professional whitening treatment, you’re prepping for a big event, or clients with mild-to-moderate staining from coffee, red wine or smoking.

    To truly enhance your results combine with a dental hygiene (scale & clean) and also save $

  • Duration 60min

    A professional teeth whitening treatment that will instantly whiten your teeth in one session with our professional-grade teeth whitening system. Treatment includes:

    • A consultation to determine your individual treatment needs.

    • 3× 12-15min applications using 35% hydrogen peroxide whitening gel and light acceleration.

    • Optional enamel repair gel for sensitive teeth.

    • Aftercare kit NOT included.

    This treatment is best for first-time clients, if it’s been a few years since your last professional whitening treatment, you’re prepping for a big event, or clients with mild-to-moderate staining from coffee, red wine or smoking.

    To truly enhance your results combine with a dental hygiene (scale & clean) and also save $

  • Duration 30min

    Maintain and re-brighten up your smile with our maintenance teeth whitening treatment. Designed for clients who have previously had our VIP Glow or Glow Up whitening treatments and want to restore and maintain their smile. Treatment includes:

    • 1× 15-20min application using 44%CP or 35%HP whitening gel and light acceleration.

    • Optional enamel repair gel for sensitive teeth.

    To truly enhance your results combine with a dental hygiene (scale and clean) and also save $

  • Duration 2 hours

    Combine and scale & clean with our VIP Glow teeth whitening treatment for the ultimate self-care moment and optimal results. Treatment includes:

    • An examination and consultation to determine your individual treatment needs

    • Plaque, tartar and surface stain removal using AIRFLOW Dental Spa technology

    • A personalised oral care routine tailored specifically for you

    • 3× 12-15min applications using 35% hydrogen peroxide whitening gel and light acceleration

    • Optional enamel repair gel for sensitive teeth

    • Plus an aftercare whitening kit for longer lasting results

  • Duration 90min

    Combine a scale and clean with our maintenance whitening treatment to restore and brighten your smile. Treatment includes:

    • An examination and consultation to determine your individual treatment needs

    • Plaque, tartar and surface stain removal using AIRFLOW Dental Spa technology

    • A personalised oral care routine tailored specifically for you

    • 1× 15-20min application using 44%CP or 35%HP whitening gel with light acceleration

    • Optional enamel repair gel for sensitive teeth

    This treatment is best for existing clients who had a scale and clean and whitening treatment within the last 12 months.

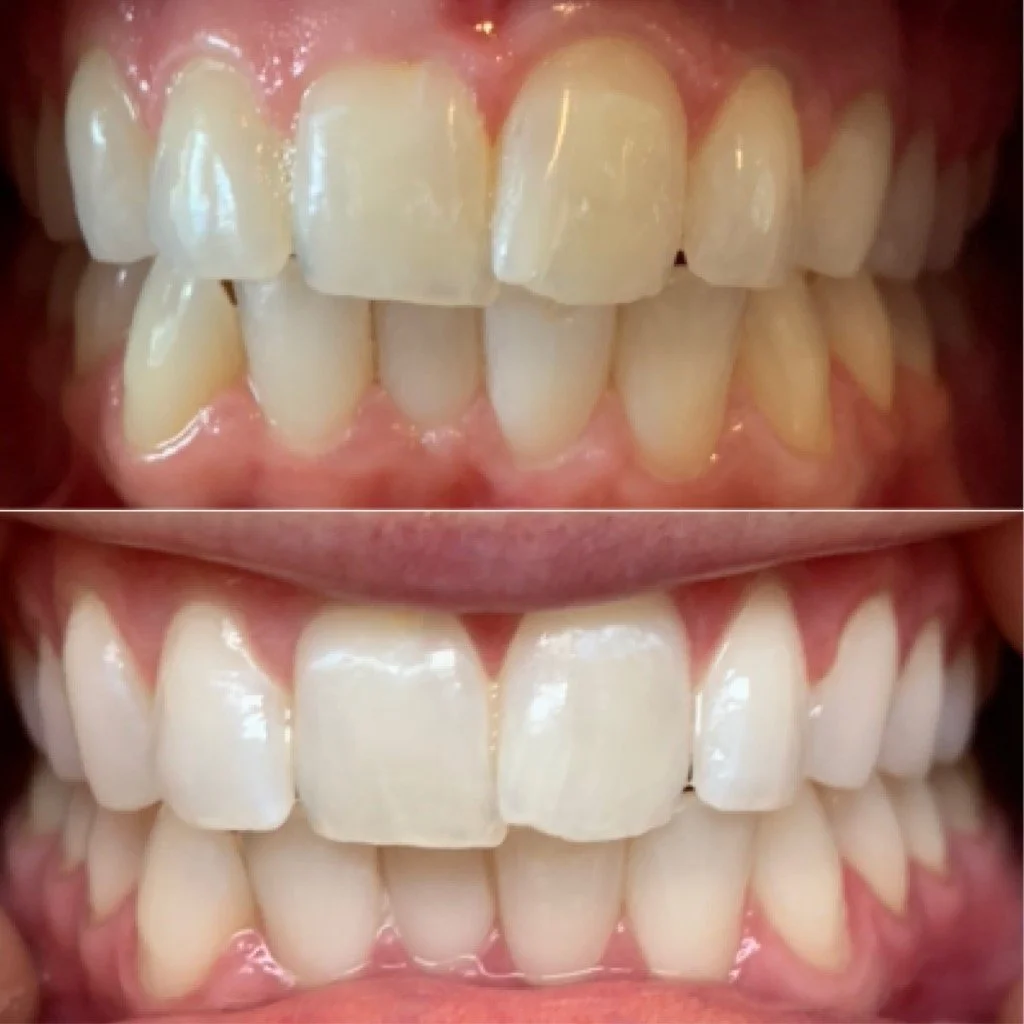
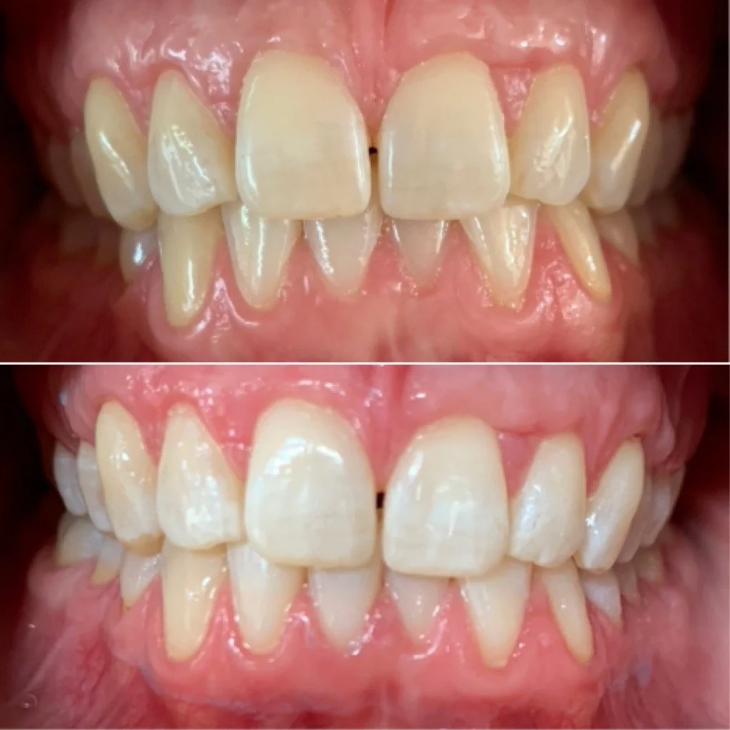
before & after.

 frequently asked questions.

  • Yes! When performed by trained professionals using approved products, teeth whitening is completely safe. At Floss your treatment will always be performed by a dental hygienist, using high quality, industry-approved products.

  • The VIP Glow and Glow Up treatment options take about 60min. You’ll see immediate results, with further improvement over the next 24-48 hours.

    Maintenance whitening will only take about 30min.

  • Significant whitening can be achieved in most cases (between 3 and 8 shades), but there is no absolute way to predict or guarantee how light your teeth will get and results vary from person to person.

  • With proper aftercare, results can last 6 to 12 months or longer. Avoiding staining foods and drinks, and using maintenance kits, can help extend the results. Teeth whitening is not permanent, and depending on a variety of circumstances, gradual regression is normal and maintenance treatments are needed to maintain your desired results.

  • Some people may experience temporary sensitivity and/or zingers during and in the following 24 hours after treatment. This is normal and generally mild if your teeth are not normally sensitive. If your teeth are normally sensitive, please let us know before your appointment so we can help reduce possible discomfort with desensitizing gels and aftercare products.

  • Most people can, but it is not recommended for: pregnant or breastfeeding women, children under 16 years old, and people with known peroxide allergies. In some cases if dental conditions such as decay and/or periodontal (gum) disease are detected the clinician may decide to postpone teeth whitening until these have been treated.

  • No - whitening gel only works on natural teeth. If you have dental work in visible areas we’ll discuss options to maintain an even look.

  • For the first 24-48 hours, avoid:

    • Coffee, tea, red wine, and dark sauces

    • Smoking or vaping

    • Strongly coloured foods and drinks

  • We recommend professional whitening every 6-12 months, depending on your lifestyle and personal preference.

  • Cosmetic teeth whitening is performed using a lower percentage whitening gel compared to professional whitening.

    • Cosmetic whitening - up to 6% hydrogen peroxide or 18% carbamide peroxide.

    • Professional whitening - up to 35% hydrogen peroxide and 44% carbamide peroxide. These high strength gels can only be used by dental professionals.

Logo of Dental Board of Ahpra featuring a stylized abstract tooth in blue and green shades.
Beyond International Inc. logo with stylized red, blue, and light blue shapes to the left of the word 'beyond' in bold blue lowercase letters, and 'International Inc.' written below in smaller blue font.